Pseudolymphoma: Understanding A Rare Condition

V.Redandblue 115 views
Pseudolymphoma: Understanding A Rare Condition

Pseudolymphoma: Understanding a Rare Condition

Hey everyone, let’s dive into something a bit unusual today: pseudolymphoma . You might not hear about it every day, but it’s a fascinating and important condition to understand. So, what exactly is pseudolymphoma? Simply put, it’s a benign (that means non-cancerous, guys!) condition that can mimic lymphoma, a type of cancer affecting the lymph system. Because it looks so similar to lymphoma under the microscope, it can sometimes be tricky to diagnose. Think of it as a master of disguise in the medical world. This condition often presents as a localized swelling or lump, typically in the lymph nodes, but it can also appear in other tissues like the skin, salivary glands, or even the gastrointestinal tract. The key thing to remember is that while it looks like lymphoma, it behaves very differently. Instead of uncontrolled cancerous growth, pseudolymphoma involves an abnormal but reactive proliferation of lymphoid cells . This means the cells are multiplying, but it’s often in response to something else, like an infection, inflammation, or even a foreign body. It’s like your body’s immune system is overreacting in a specific spot. The diagnostic challenge lies in distinguishing this benign process from actual malignant lymphoma. This requires careful examination by pathologists, often involving specialized tests like immunohistochemistry and sometimes even genetic analysis. The goal is always to ensure the correct diagnosis is made so that appropriate treatment, if any, can be administered. Misdiagnosis can lead to unnecessary and potentially harmful treatments for lymphoma when all that’s needed might be observation or treatment of the underlying cause. Therefore, the accurate identification of pseudolymphoma is crucial for patient management and outcomes. It’s this complexity that makes understanding pseudolymphoma so vital for both medical professionals and those who might encounter it.

Causes and Risk Factors of Pseudolymphoma

Now, let’s chat about why pseudolymphoma happens. It’s not always straightforward, and often, the exact trigger remains a bit of a mystery. However, medical research has pointed to several potential causes and risk factors that can lead to this condition. One of the most commonly suspected triggers is chronic inflammation or infection . Think of situations where your body is fighting something off for a long time. This persistent immune response can sometimes lead to an overgrowth of lymphoid cells in a localized area, creating that pseudolymphoma picture. For instance, certain autoimmune diseases, where the immune system mistakenly attacks the body’s own tissues, have been linked to pseudolymphoma. Conditions like Sjögren’s syndrome or rheumatoid arthritis, which cause chronic inflammation, can sometimes manifest with pseudolymphoma-like lesions. Another significant factor is exposure to certain medications . Believe it or not, some drugs can provoke a reaction that mimics lymphoma. Anticonvulsants, immunosuppressants, and even some antihypertensive drugs have been implicated. When a person starts a new medication and then develops a lump that looks suspicious, it’s definitely something doctors will investigate. The body’s reaction to these drugs can be quite varied, and in some individuals, it manifests as this benign lymphoid proliferation. Then there are autoimmune disorders , as I touched upon. These conditions inherently involve the immune system acting erratically, and pseudolymphoma can be one of the ways this dysregulation presents itself. It’s like the immune system gets confused and starts building up cells in the wrong place or in the wrong way. Trauma or injury to a specific area has also been suggested as a possible trigger in some cases. While less common, a significant injury might, in rare instances, initiate an inflammatory process that leads to lymphoid hyperplasia resembling pseudolymphoma. Lastly, and this is super important, genetic predisposition might play a role. Some people might be genetically more susceptible to developing these kinds of reactive lymphoid proliferations. It’s not a direct inherited disease, but rather a potential underlying vulnerability. It’s important to remember that many cases of pseudolymphoma have no identifiable cause. The body just decides to do its own thing, leading to this condition. So, while we have these potential culprits, the diagnosis often involves ruling out other possibilities and sometimes acknowledging that the cause is simply unknown. This ongoing research highlights the complexity and the need for thorough investigation when pseudolymphoma is suspected.

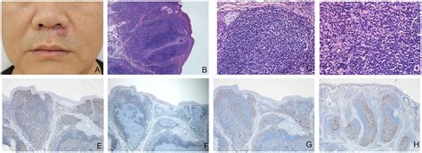
Symptoms and Diagnosis of Pseudolymphoma

Let’s talk about what you might actually see or feel if someone has pseudolymphoma. The symptoms can be pretty varied because, as we’ve discussed, this condition can pop up in different parts of the body. However, the most common sign is a localized swelling or lump . This is often felt in the lymph nodes, which are small, bean-shaped glands that are part of your immune system. You might notice a swollen neck, armpit, or groin. These lumps are usually painless , which can sometimes make people delay seeking medical attention, thinking it’s not serious. But guys, any unexplained lump should always be checked out by a doctor, no matter how painless it is! Beyond the lymph nodes, pseudolymphoma can also affect the skin , presenting as raised patches, nodules, or even ulcers. These skin lesions might be itchy or tender, depending on the individual and the location. If it affects the salivary glands , you might experience swelling in the cheek or under the jaw area. And sometimes, it can occur in the gastrointestinal tract , leading to symptoms like abdominal pain, bleeding, or changes in bowel habits, which can be really worrying and mimic other digestive issues. Because these symptoms can be so non-specific and overlap with many other conditions, including actual cancers like lymphoma, the diagnosis is the most critical and often challenging part . A doctor will start with a thorough medical history and a physical examination, looking for any lumps or abnormalities. However, physical examination alone is rarely enough. The definitive diagnosis usually requires a biopsy . This means a small sample of the affected tissue is removed and examined under a microscope by a pathologist. This is where the real detective work happens. Pathologists look at the size, shape, and arrangement of the cells, as well as their specific markers. They’ll be trying to differentiate between the reactive, benign proliferation of lymphoid cells in pseudolymphoma and the uncontrolled, malignant growth seen in lymphoma. Immunohistochemistry is a key technique used here. It involves using antibodies to identify specific proteins on the surface of cells, which helps classify the cell types and their behavior. Sometimes, flow cytometry or molecular studies might also be needed to get a clearer picture. It’s a process of elimination and careful observation, making sure they’re not missing anything. Imaging studies like ultrasounds, CT scans, or MRIs might also be used to help visualize the extent of the swelling and its relationship to surrounding structures, but again, they don’t provide a definitive diagnosis on their own. The goal is always to arrive at the most accurate diagnosis to ensure the patient receives the correct management, avoiding unnecessary treatments for cancer if it’s actually a benign condition like pseudolymphoma.

Treatment and Prognosis of Pseudolymphoma

Okay, so you’ve been diagnosed with pseudolymphoma. What’s next? The good news, guys, is that because pseudolymphoma is a benign condition, the treatment approach is often conservative and focused on resolving the underlying cause if one is identified . Unlike malignant lymphoma, which requires aggressive treatments like chemotherapy and radiation, pseudolymphoma typically doesn’t necessitate such drastic measures. The prognosis for pseudolymphoma is generally excellent . This means that people usually recover fully and don’t experience long-term complications. The specific treatment will really depend on what’s causing the pseudolymphoma in the first place. If a specific trigger, like an infection or a medication, is identified , then addressing that trigger is the primary course of action. For example, if a certain drug is suspected, stopping or switching that medication might cause the pseudolymphoma to resolve on its own. If it’s an infection, treating the infection will often lead to the shrinkage of the affected tissues. In cases where no clear cause can be found , or if the pseudolymphoma is causing significant symptoms or cosmetic concerns, observation might be the best approach. Sometimes, these lesions just go away on their own with time. If the swelling is particularly large, causing discomfort, or is in a very visible area and bothers the patient, surgical removal of the affected tissue might be considered. However, surgery is usually not the first line of treatment and is reserved for specific situations. It’s important to note that even after successful treatment or resolution, there’s a small possibility of recurrence. Therefore, regular follow-up with your doctor is often recommended, especially in the initial period after diagnosis or treatment. This allows healthcare providers to monitor the area and catch any potential issues early. The key takeaway regarding prognosis is that pseudolymphoma is not life-threatening. The main concern is the accurate diagnosis to differentiate it from actual lymphoma. Once diagnosed correctly, management is usually straightforward, and the outcome is overwhelmingly positive. So, while it might sound scary initially due to its resemblance to lymphoma, understanding pseudolymphoma reveals it to be a manageable condition with a bright outlook for those affected. It’s a testament to how crucial accurate diagnosis and tailored treatment are in medicine.

Living with Pseudolymphoma and When to Seek Medical Advice

Living with pseudolymphoma, or even just the suspicion of it, can bring up a lot of questions and anxieties, guys. The biggest one, naturally, is differentiating it from cancer. But remember, pseudolymphoma itself is not cancer , and its prognosis is typically very good. The key is understanding what it is and what steps to take. If you discover a new lump or swelling anywhere on your body, don’t panic , but do seek medical advice promptly . It’s always better to get things checked out early. Your primary care physician is usually the first port of call. They’ll perform an initial assessment, and if they suspect something like pseudolymphoma or anything else requiring further investigation, they’ll refer you to a specialist. This might be a hematologist (a blood disorder specialist), an oncologist (cancer specialist), or a pathologist, depending on the nature of the lump and where it’s located. Regular self-examinations can be beneficial, especially if you have a history of lymphoid issues or if pseudolymphoma runs in your family (though it’s not strictly hereditary). Get to know your body and what’s normal for you. If you notice any changes – a new lump, a lump that grows, or any other unusual symptom like unexplained fatigue, persistent fever, or night sweats (though these are less common with pseudolymphoma and more indicative of actual lymphoma, so definitely get them checked!) – it’s time to make that call to your doctor. Information is power , and understanding that pseudolymphoma is a benign mimic of lymphoma can ease a lot of worry. Educate yourself, stay informed about your health, and trust your instincts. If something feels off, it’s worth getting it professionally evaluated. When you see a doctor, be prepared to discuss your medical history, any medications you’re taking, and when you first noticed the symptoms. The more information you can provide, the easier it will be for them to diagnose the condition accurately. Ultimately, living with pseudolymphoma involves awareness, prompt medical attention when needed, and confidence in the generally positive outlook of this condition. It’s about empowering yourself with knowledge and working closely with your healthcare team for the best possible outcome. Remember, early detection and accurate diagnosis are your best allies .